🧠✨ Histórico avance médico en Yucatán: IMSS realiza la primera cirugía cerebral en adolescente despierto 🇲🇽💪
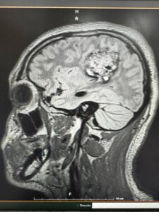
Un hecho sin precedentes ocurrió en Yucatán: especialistas del IMSS lograron realizar la primera craneotomía en un paciente pediátrico consciente. El joven de 16 años permaneció despierto mientras los médicos extirpaban un tumor cerebral de 5 centímetros, permitiendo monitorear en tiempo real su lenguaje, movilidad y funciones cognitivas.
La cirugía, realizada en la Unidad Médica de Alta Especialidad (UMAE) del IMSS Mérida, fue encabezada por el neurocirujano pediátrico Dr. Gabriel Cachón Cámara junto con un equipo multidisciplinario de anestesiólogos, neuropsicólogos y personal médico.
Tras seis horas de intervención, el tumor fue retirado exitosamente al 100% y el paciente preservó sus funciones motrices y del habla, marcando un hito histórico en la medicina de Yucatán y del país. 
Francisco, quien llegó desde Cancún, agradeció emocionado: “Tenía miedo, pensé que no volvería a moverme o hablar, pero aquí estoy. Gracias a los doctores por devolverme la vida”.
El director de la UMAE, Dr. Roberto Abraham Betancourt, celebró este logro como un reflejo del compromiso del IMSS con la innovación, la ciencia y la calidad humana en la atención médica.
